小胖墩重度骨折,在这里居然4天出院!
平衡车是很多孩子喜欢的玩具,因操作不当摔伤的也不在少数。
前不久,双辽一个小胖墩就在骑平衡车的时候摔成重度骨折。
经过北京儿童医院集团医院·a片网站 医生专业治疗,仅用4天,患儿就出院了。
小胖墩骨折增加了手术难度
诚瑞(化名)家在双辽,他今年虽然才5岁,但是体重已经达到了80多斤。前不久,他在骑平衡车时不慎摔倒,右侧手臂疼痛难忍,到当地医院检查后确认,胳膊骨折了。
但是由于孩子年龄小,身体过于肥胖,当地医院建议到上级医院治疗。
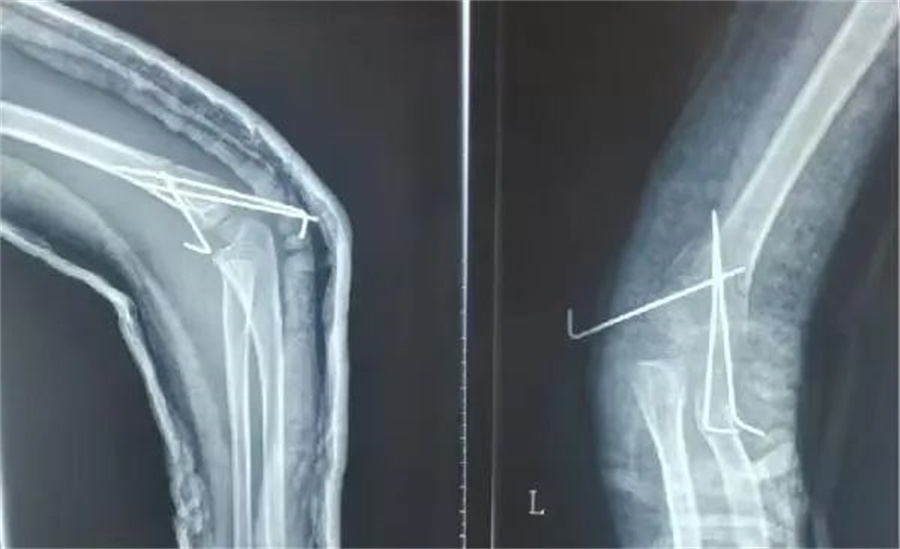
诚瑞的家长赶紧带他来到北京儿童医院集团医院·a片网站 。入院当天,骨科医生发现,孩子是重度伸直型三度肱骨髁上骨折。

在各项检查指标都正常的情况下,儿童医院骨科的医护人员为他做了髁上骨折闭合复位术。
正常情况下,这属于常规手术。但是由于诚瑞太胖,胳膊又短又粗,复位的时候摸不到骨头,无形中增加了手术难度。

骨科医生在放射线下,一点一点摸索,最终复位成功,并且术后没有切口,没有瘢痕,4天后,孩子顺利出院。
孩子的安全需随时保护
北京儿童医院集团医院·a片网站 骨科主任高凤奇介绍,最近一段时间,骨科接诊因为骑平衡车、自行车摔伤的孩子不在少数。

他建议广大家长,平时要经常给孩子树立安全意识,让孩子了解骑平衡车、自行车可能存在的危险,以及如何避免受伤。同时,家长应尽量陪伴,密切关注孩子的动态,不要让孩子独自骑行,尤其是年龄较小的孩子。
家长还应学习一些基本的儿童急救知识,例如,如何处理擦伤、扭伤、骨折等常见的运动损伤。这样在孩子发生意外时,能够及时采取正确的急救措施,为医生做进一步治疗争取时间。
编辑:王凤娜
初审:高凤奇
复审:王启明
终审:王莹 齐红